Thursday, February 25, 2016

Human Lungs under the Microscope

The human lungs are a pair of spongy, air-filled organs that are located on either side of the chest (thorax). The windpipe (trachea) passes inhaled air to the lungs through its tubular branches called bronchi. The bronchi then develop into smaller and smaller branches (bronchioles), until they finally become microscopic.

Microscope image of human lung captured at 40x.
Human lung under the microscope at 40x magnification.


The bronchioles eventually end up in clusters of microscopic air sacs called alveoli. The alveoli are tiny sacs within the lungs that allow oxygen and carbon dioxide to move between the lungs and the bloodstream. Inside the alveoli, oxygen is absorbed into the bloodstream. Carbon dioxide, a waste product from metabolism, travels from the blood to the alveoili, where it can be exhaled. Between the alveoli there is a thin layer of cells called the interstitium, which contains blood vessels and cells that help support the alveoli.

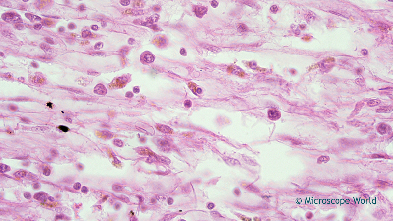
Microscopy image of human lung captured at 100x.
Human lung under the microscope at 100x magnification.


The lungs are covered by a thin tissue layer called the pleura. This same kind of thin tissue covers the inside of the chest cavity, which is also known as pleura. A thin layer of fluid acts as a lubricant allowing the lungs to slip smoothly as they expand and contract with each breath.

Microscopy image of human lung at 400x magnification.
Human lung under the microscope at 400x magnification.

The images shown here of human lungs were captured using the RB30 biological lab microscope and a high definition microscopy camera. Images were captured to an SD card and downloaded to the computer.

Microscope image of human lung captured at 400x.
Human lung under the microscope at 40x magnification using a Plan Fluor Objective.

Learn more about the human lungs here. For microscopy related questions contact Microscope World.

Monday, February 22, 2016

Mitutoyo Thickness Gages

There are quite a few Mitutoyo thickness gages available, each with different features. This post helps explain the different types of thickness gages and their intended uses.

Measuring Lens Thickness

Mitutoyo reverse anvil digital thickness gage 457-312S.
Digital Reverse Anvil Thickness Gage
The reverse anvil thickness gages are ideal for measuring lens thickness.  These thickness gages are available in dial or digital output. Measurements can be made in metric or inches.

The digital reverse anvil thickness gages have the ability to  transmit the data and save it to an excel file for further analysis.








Measuring Groove Thickness

Groove thickness blade anvil measuring gage.
Dial Groove Thickness Gage
The blade anvil thickness gages were designed for measuring groove thickness. The groove thickness gages have a knife-shaped anvil and plunger to enable contact with the bottom of grooves.

The blade anvil thickness gages are available in either metric or inches. Digital versions can switch back and forth between mm or inches. Optional data output devices are available to record measurements.



Measuring Tube Thickness

Mitutoyo tube thickness gage available in digital or dial.
Digital Tube Thickness Gage
The tube thickness gages have a ball anvil and point contact that make these thickness gages ideally suited for measuring the wall thickness of tubes.

The tube thickness gages are available with an inch dial measurement, mm dial measurement or a digital version that can switch between inches and mm. The digital tube thickness gage has optional data output devices that can be purchased to record and save measurement data.




Measuring Larger Object Thickness

Deep throat thickness measuring gage.
Deep Throat Thickness Gage
The deep throat thickness gages are ideal for making measurements that might not be right next to the edge of the sample.

Deep throat thickness are available in metric dial gages, inch dial gages and in digital deep throat thickness gages. The digital version can switch back and forth between inches and metric measurements. Additionally, data output devices can connect to the digital thickness gage for data output.


Measuring Paper, Film, Wire, Sheet Metal

Mitutoyo high accuarcy thickness gage for measuring paper, sheet metal and fine thin samples.
High Accuracy Thickness Gage
The high accuracy digital thickness gage was created for high precision measuring. With accuracy of +/-0.00015" and resolution to 0.001mm the high accuracy thickness gage is perfect for measuring thin samples such as paper, film, wire, sheet metal and similar thin materials.

This thickness gage is available in only a digital version and can switch between inches and mm with an LCD reading as well as data output for SPC analysis.




Basic Thickness Measurements

Flat anvil thickness gages available in dial or digital readout.
Flat Anvil Thickness Gage
The flat anvil thickness gages were created for a wide range of applications with various types of measuring faces.

These flat anvil thickness gages are available in a wide variety of models including dial inches with different accuracy ratings as well as dial metric models. The digital versions of the flat anvil thickness gages can switch back and forth between a metric and inch readout. Data output devices are available for saving and outputting data to a computer.


Leaf Thickness Gages

Mitutoyo leaf thickness gages.
Leaf Thickness Gage
The leaf thickness gages are available in either inches or metric. Each leaf is marked with its thickness and is detachable from the fan of leaves. The leaves are available with a straight or tapered blade.









If you have a specific thickness measuring problem that you are trying to solve, please contact Microscope World.

Thursday, February 18, 2016

Heart Attack Awareness & Prevention

Myocardial infarction is the technical term for a heart attack. A heart attack occurs when an artery leading to the heart becomes completely blocked and the heart doesn't receive enough blood or oxygen. Without oxygen, cells in that area of the heart die, referred to as an infarct.

A heart attack is a medical emergency and if you or someone around you has the symptoms listed below call for medical help immediately. With prompt medical treatment, heart damage can be minimized. Waiting even ten minutes can be fatal. Although heart attacks are the leading cause of death in the United States, up to 95 percent of people who are hospitalized with a heart attack survive.

Signs and Symptoms of a heart attack:
  • Squeezing pain, heaviness, tightness and/or pressure in the chest.
  • Pain that spreads to the back, left arm, jaw and/or back.
  • Shortness of breath, weakness, dizziness, nausea, vomiting, and sweating.
  • Irregular heartbeat or a feeling of doom.
  • Women may also experience: heartburn and/or abdomen pain, unusual fatigue and/or clammy skin.
Most heart attacks are caused by blood clots, which are caused by atherosclerosis (stiffening and narrowing of the arteries). High blood fats, known as triglycerides, and LDL (bad) cholesterol form plaque inside arteries, narrowing the passageway and reducing the amount of blood that can flow through the arteries.

A healthy lifestyle is the best preventative medicine and these changes can reduce the risk of heart attack:
  • Eating a heart-healthy diet low in cholesterol and high in fruits and vegetables.
  • Exercising at least thirty minutes a day, five or more days a week.
  • Reducing stress levels.
The images below are of myocardial infarction (a heart that has been through a heart attack) and were captured using a clinical lab microscope and an HD microscopy camera.

Microscope World image of myocardial infarction under the microscope at 40x.
Myocardial infarction (heart attack) under the microscope at 40x.

Microscope World image of heart attack under the microscope at 100x.
Myocardial infarction (heart attack) under the microscope at 100x.

Microscopy image of a heart attack (myocardial infarction) under the microscope at 400x.
Myocardial infarction (heart attack) under the microscope at 400x.

Myocardial infarction (heart attack) under the microscope at 400x with Plan Fluor objective lens.

For more info on microscopes and microscopy cameras contact Microscope World. For more info on heart attack prevention and awareness visit NIH here.

Friday, February 12, 2016

Human Colon Under the Microscope

The human colon is an important part of the digestive system and it plays a critical role in maintaining a healthy body. The human colon is a continuous hollow tube that is approximately five feet long and about 2-3 inches in diameter. The colon is made up of four unique parts.

Human colon part #1:
The ascending colon is the portion of the colon located on the right side of the abdomen near the liver.

Human colon part #2:
The transverse colon is located near the liver and the spleen. It hangs from the stomach by a band of tissue called the greater omentum. The transverse colon is the part that has the greatest risk of developing cancer, because more of the solid waste is moved and stored in this area.

Human colon part #3:
The descending colon connects the sigmoid colon to the splenic flexure. The descending colon is located on the left side of the large intestine, extending from the bend below the spleen to the sigmoid colon. The descending colon stores the food to be emptied into the rectum.

Human colon part #4:
The sigmoid colon is located between the descending colon and the rectum. It has muscular walls that contract in order to increase the pressure in the colon to move the stool to the rectum.

While food is still in the small intestine, all the vital nutrients are removed and used by your body. The waste that is left, moves to the large intestine, which is the first part of the colon. Here, the colon absorbs water and sodium from the waste and what is left is referred to as stool. The stool passes through the colon into the rectum and out through the anus during a bowel movement.

The images below of the human colon were captured with a biological laboratory microscope and a high definition (HD) microscope camera.

Microscope World image of human colon at 40x under the microscope.
Human colon under a biological microscope at 40x.

Microscopy image of human colon captured at 100x.
Human colon under a biological microscope at 100x.

Microscopy image of the human colon at 400x.
Human colon under a biological microscope at 400x.

Human colon under the microscope at 400x.
Human colon under a biological microscope at 400x using a plan fluor objective lens.

You can view larger images of the human colon and its placement in the body here.

Wednesday, February 10, 2016

Best Teaching Microscopes

Teachers have a variety of needs depending on the teaching environment. Below is a review of some of the best teaching microscope that provide different options to ultimately enable teachers to perform their job with a bit less hassle.

Student Microscopes

Most popular student high school microscope model HS-1M.
HS-1M Student Microscope
For the teacher who wants each student (or group of students) to have their own workstation with a basic biological microscope that provides 40x, 100x, and 400x magnification, the HS-1M Student Microscope is an inexpensive solution. The microscope has the option to add a mechanical stage. This microscope is the most popular high school model as it meets U.S. high school standards and provides both coarse and fine focusing adjustments, as well as having a cool LED light source that will not harm living specimens. The microscope can be operated corded by plugging in the included recharger, or cordless.


WiFi Wireless Teaching Microscopes

WiFi digital microscope that streams up to six devices at once.
Digital WiFi Microscope
The WiFi wireless teaching microscopes create their own WiFi network (you do not need another wireless network) that allows connection of up to six Android or Apple devices such as tablets or iPhones. A free app is downloaded on each device and live images can be streamed from the WiFi microscope directly to each device. The WiFi microscopes are available both as biological compound microscopes or stereo dissection microscopes. Rather than purchase a large number of microscopes, the WiFi microscopes can be used with multiple students at one time since each student can view the microscopy image on their personal device.



Tablet Microscopes

UX1-LCD tablet microscope with touch screen and image capture.
UX1-LCD Tablet Microscope
A tablet microscope provides a live image directly on the tablet attached to (or next to) the microscope. This LCD tablet microscope is a good teaching tool when it is easier to have a group of students gather around a single microscope rather than taking turns for each student to look through the eyepieces. Additionally, if a budget doesn't provide for multiple microscopes, a single digital tablet microscope can be a viable solution. The tablet microscope provides live images, the ability to capture and save images as well as capture to a micro SD card. The tablet microscopes also have WiFi capability that allows up to six users to connect to the microscope WiFi network and view live images on their own personal Android or Mac devices.


HDMI Video Microscope

The HD video microscope can connect with an HDMI cable directly to a monitor.
HD Video Microscope
An HDMI Video Microscope provides the ability to connect a teaching microscope directly with an HDMI cable to a monitor. This teaching microscope can simplify the microscope connection process. Rather than needing to take the digital microscopy image through a computer via USB and then having to connect the computer up to an LCD projector, the HDMI cable option provides one simple connection between the digital microscope and the video screen. The video microscope also allows for image capture either with an SD card or by connecting the microscope through the USB port on the computer.



Teaching and Multi-Viewer Microscopes

Dual head multi-viewer teaching microscope.
Dual Head Teaching Microscope
Dual-head multi-viewer teaching microscopes can have multiple viewing heads ranging from two to five. These multi-viewer microscopes allow each student to look through the microscope simultaneously. Multi-head teaching microscopes are typically used in Universities and for higher education.

Thursday, February 4, 2016

Fibroadenoma of the Breast

A firboadenoma is a non-cancerous breast tumor that is most commonly found in women under age thirty. Fibroadenomas are diagnosed in about ten percent of all women in the United States. The tumors consist of breast tissue and connective (stromal) tissue. Fibroadenomas can occur in one or both breasts, but 85-90 percent of women only develop one tumor.

Some fibroadenomas are so small they can not be felt. Those that can be detected have a very distinct surrounding tissue. The edges are clearly defined and the tumor has a detectable shape. They are movable under the skin and are usually not tender. Fibroadenomas are often shaped like marbles with a rubbery feel to them.

The exact cause of fibroadenomas is unknown, but hormones such as estrogen may play a role in the development of the tumors. In addition, taking contraceptives before the age of twenty may be a cause of developing fibroadenomas. The tumors have also been known to grow during pregnancy and shrink during menopause and can sometimes resolve themselves.

There are two types of fibroadenomas: simple and complex.

The simple tumors look the same all over when viewed under the microscope, and they do not increase the risk of breast cancer. The complex tumors contain other components, such as macrocysts (fluid filled cysts large enough to see and feel without a microscope) and calcification (calcium deposits). This type of tumor slightly increases the risk of breast cancer by 1.5-2 times, compared to women without complex fibroadenomas according to the American Cancer Society.

The images below are of fibroadenoma of the breast and were captured using a biological lab microscope with a high definition microscopy camera.

Breast fibroadenoma under the microscope at 40x.
Fibroadenoma of the breast under the microscope at 40x.

Benign breast tumor under the microscope at 100x.
Fibroadenoma of the breast under the microscope at 100x.

Breast fibroadenoma captured under the microscope at 400x.
Fibroadenoma of the breast under the microscope at 400x.

Breast benign tumor under the microscope at 400x.
Fibroadenoma of the breast under the microscope at 400x.

Tuesday, February 2, 2016

Microscope Condensers and Filters

When using microscope filters or sliders with the microscope condenser, there are several locations the filters can be placed. Filters are often placed above the light source. For example, a blue or ground glass filter is often placed directly above the light, as shown in the image below. Visit this page for more information on the types of filters and their uses.

Where to place a microscope filter on a microscope.
Microscope Filter Above Light

Often microscopes have built-in filter holders located above the light source that can be swung into place above the light or moved out of the way when not in use. The image below shows built-in filter holders that swing out of place.

Microscope image showing swing-out filter holders above the light source.
Microscope with Swing-Out Filter Holders

Other microscopes will have a filter holder that slides directly into the condenser. The image below of the biological microscope shows where the filter can be placed in the slider for insertion in the condenser. Additionally, this filter slider can be removed and a darkfield slider or a phase contrast slider can be inserted in this condenser.

Microscope condenser with filter slot.
Microscope Condenser with Filter Slot

The final image below shows the same filter from above fully inserted into the microscope condenser.

Microscope condenser image with slider inserted.
Microscope Slider In Place on Condenser
If you have questions about microscope filters or microscope condensers, contact Microscope World.